NON INVASIVE BEISPIELE
|
|
|
Die fertige Arbeit einer jungen Fotografin mit kleinen Chips.
Es ist nicht immer gut für einen Künstler, zu übertriebene Kenntnisse von den Prozessen zu haben. Darum muss man auch nicht immer jedes Detail erklären, wenn etwas gut ist.
|

|
|
Ich weiss, die Haltbarkeit dieser Technik wird immer noch angezweifelt.
Doch bei richtiger Klebetechnik kommt es zu einem perfekten unwiderruflichen Verbund.
|

|
|
Nach dem Brand. Ohne Schleifen, nur die Oberfläche mit Politur.
|

|
|
Die fertige Arbeit, und die Lücken sind realistisch geschlossen.
|

|
|
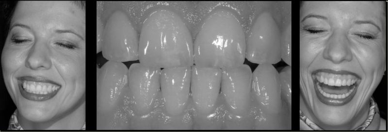
Erinnern wir uns, schöne Zähne machen sympathisch, schöne Zähne sind ein Sympathieträger, und sie können auch unseren Augen einen neuen Ausdruck verleihen:
Sicherheit kann dem Blick, den Ausdruck von Kraft und Charisma geben. Ich finde, dass es bei dieser Patientin besonders gut zu sehen ist.
|

|
|
Vielleicht können wir davon ausgehen, dass sie eine neue Art von Bejahung und Bewunderung kennenlernen wird - überraschen würde mich das nicht.
|

|
|
Und weiter mit non invasiv... Es ist, Einfachheit, Leichtigkeit, Freiheit.
Doch Schiller sagt: "Die schönsten Träume von Freiheit werden im Kerker geträumt."
|

|
|
Die Patientin konnte diese wunderbare orale Metamorphose, die mühelos geschah, kaum verstehen.
|

|

|
|
Diese Technik ist immer ein Kompass für den guten Geschmack, und guter Geschmack warnt vor Übertreibung.
|

|
|
Die Ausgangssituation: Es war immer der Wunsch des Patienten die Lücken geschlossen zu haben.
Auch hier bedarf es für den Patienten oftmals eines Gewöhnungs-Prozesses: Denn er hat im Spiegel jeden Morgen ein neues Vis a Vis.
|
DER MUND IST MEHR ALS EINE KISTE VOLLER ZÄHNE.
|

|
|
Sebastian - Kopfbiss, viele Jahre Gelenkprobleme |

|
|
|

|
|
Übergänge im Marginal-Bereich werden unsichtbar kaschiert durch irreguläres Auslaufen der Randbereiche. |

|
|
Außerdem müssen wir darüber nachdenken, mit dem Wissens- stand von heute, wenn so ein Fall für Kronen präpariert würde, ob das nicht eine schwere Körperverletzung sein könnte. |

|
|
Die Darstellung zeigt die Ausgangssituation eines zweiundzwanzig jährigen Patienten. Für den desoltaten Zustand seines Abrasionsgebisses konnte keine definitive Erklärung diagnostiziert werden. Eindeutig war schon zu Beginn die Therapieform. Non invasiv, in seiner Reinheit, war für alle Beteiligte die einzige Lösung.
|

|
|
Denken wir daran, es gibt wenige Dinge, die so gut sind, dass sie nicht noch verbessert werden können.
Non invasiv ist eins der Dinge, welches mit dem guten Gefühl der langfristigen Patientenzufriedenheit keine Verbesserung benötigt.
|

|
|
Für später sind natürlich auf der rechten Seite noch zwei Implantate geplant. |

|
|
Nach Fertigstellung der Arbeit ist es immer ein schönes Gefühl, das Sammelsurium der Arbeit für ein Foto zusammen zu stellen. |

|
|
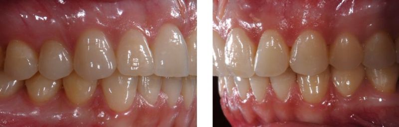
Grundsätzlich wurde in diesem Fall an den Karies und füllungsfreien Zähnen keine Präparation vorgenommen.
Lediglich wurde, wie die Abbildung zeigt, defektorientiert an einigen Seitenzähnen minimal Zahnsubstanz entfernt.
Nach dem Legen der Kofferdam ist das Kleben der Veneers einfacher und gesicherter.
|

|
|
Um den Fall in seiner Komplexität überschaubarer und gesicherter zu rekonstruieren, wurden zunächst die Seitenzähne restauriert. Unter zu Hilfenahme der -DIR- Technik, Abkürzung für dynamisch, intraoral und registriert, wurde die optimale orthognathe Relation der Kiefer ermittelt und fixiert.
Der funktionelle und kosmetische Aufbau der Labial- und Palatinalflächen kann jetzt einfacher, mit endgültig abgestützter Okklusionsebene fertiggestellt werden.
Die Intraoralaufnahme zeigt nun sehr schön den tatsächlich zur Verfügung stehenden Freiraum zur Anfertigung der Frontzahnrehabilitation.
|

|
|
Die Lateralansicht zeigt das mit minimalem Aufwand eine maximale Wirkung erreicht wurde. Es ist minimal invasiv pur.
Die längere Eckzahn- und Frontzahnführung sorgt jetzt für weichere, störungsfreie Bewegungen. Somit wurden nicht nur ästhetische, sondern auch funktionelle Aspekte berücksichtigt.
|
|
|
Die Frontalansicht zeigt schöne ausgewogene Zahnbögen, die im Team mit seinen Angehörigen erarbeitet wurden.
Es war primär das Anliegen seiner Angehörigen, die ihn zu zweit, mit ausgeprägter Fürsorge, zu allen Terminen im Labor begleiteten, ein besonders ihnen gefälliges Endergebnis zu erzielen.
Derartige Umstände dürfen nicht als Zumutung betrachtet werden, sie zeigen vielmehr berechtigtes und begründetes Misstrauen.
Auch sie mussten in der Vergangenheit invasives zahnärztliches Vorgehen, mit negativen ästhetischen Resultaten, über sich ergehen lassen. Gern und mit Gelassenheit habe ich in diesem Team die Arbeit fertig gestellt.
|

|
|
Man entdeckt außergewöhnliche Eigenschaften und es endet mit Freiheit. Doch Freiheit bedeutet nicht, dass ich machen kann, was ich will, sondern eines Tages das zu nterlassen, was ich nicht mehr gerne möchte.
Es ist etwas, wo Sinnesfreude vor Disziplin marschiert.
|
 |
|
So kann mit dieser Entscheidung wie hier eine Mund non-invasiv zum Erstrahlen gebracht werden. Begesitern wir uns, wenn es möglich ist, nur diesen Weg zu beschreiten. |
 |
|
Die Ausgangssituation gab keine Veranlassung, diese Zähne mit Präparations-Techniken zu Traumatisieren.
Non-invasiv war das Versprechen an unsere Patientin.
|
 |
|
Der Diamant wurde natürlich nicht wieder eingearbeitet.
Sie hatte jetzt ein neues und anderes Vorstellungsvermögen von schönen Zähnen. Gepaart mit der Vorstellung von Dentaler Unversehrtheit und Einfachheit.
|
 |
|
Die Patientin hatte Glück, dass niemand ihre Zähne mit einer Präaration zerstört hat. Und zur Definition von Glück könnte man sagen: Wenn gute Vorbereitung auf richtige Gelegenheit trifft.
|
 |
|
Diese Arbeit wurde von einem gewerblichen Labor drei mal gemacht. Es war allerdings auch das Erstlingswerk von diesem Zahntechniker mit non-invasiv. Kein Problem, er hatte kein Glück, er war nicht gut genug vorbereitet für diese Gelegenheit. Denn wissenschaftliche Untersuchungen zeigen, für eine meisterliche Leistung sind in der Regel mehr als 10.000 Übungsstunden notwendig. Das hat Gültigkeit für Geistige, sowie handwerkliche Tätigkeit.
|

|
|
Darum suchen wir immer nach Vorbildern und Lehrern.
Als ein Gesamtwerk der Ästhetik stellt sich natürlich das Werk von Leonardo da Vinci dar. Er kann emotionaler und künstlerischer Ideenlieferant sein. Das ist auch inspirierend bei der Anfertigung von Zähnen, weil auch wir etwas zum Ausdruck bringen müssen.
Zahnlos, aber geadelt und nobel erscheint das Portrait. Er hat das zum Ausdruck gebracht.
|

|
|
Und der Zahnlose, im Ausdruck weise, sanftmütige nach vorne gerichtete Mensch der sagt: Es gibt keine Einheitsästhetik. Denn das wäre langweilig.
Darum gilt auch heute nicht unbedingt die Frage wie wird etwas gemacht, sondern wie können wir jemand begeistern, es anders zu machen.
|
 |
|
Immer sind wir auf der Suche nach Vollkommenheit, nach der perfekten Form, nach der perfekten Proportion. Dafür lassen sich viele Menschen strecken, stauchen und aufpolstern. Geliftet, gebleacht, gebräunt und gebotoxst - je nach Zeitgeschmack - werden die größten Qualen erdultet. Denn nur wenige haben das Glück, den momentan gültigen Normen gerecht zu werden.
|

|
|
Denken wir an den charismatischen Joschka Fischer. Sein Fahrer fragte ihn: "Herr Minister wo fahren wir heute hin?" Er antwortete:" Völlig egal, ich werde überall gebraucht."
Er konnte das sagen. Darum geben wir unseren Patienten durch angenehmes Charisma und Charm das Gefühl der Wahrhaftigkeit, dass es glaubhaft ist, wenn wir sagen:
|
SCHÖNE ZÄHNE MACHEN SYMPATHISCH, SCHÖNE ZÄHNE SIND EIN SYMPATHIETRÄGER.
|

|
|
Mit jeder neuen Technik denken wir, das Leben wird immer komplizierter. Picasso erinnert uns mit seinem Minimalismus an das Einfache und damit auch an unsere Möglichkeiten. Pragmatisch. Pragmatismus, wenn man sein Handeln über die Vernunft stellt. Bewunderung Neid und Hass. Picasso, er hat den einfachen Weg gesucht.
|

|
|
Das bedeutet, das der gereifte in Einfachheit gestalten kann. Historisch gesehen, beginnen die meisten Entwicklungen primitiv, dann kommt das komplizierte, die letzte Entwicklungsstufe ist immer das Einfache. Tonnen schwer war auch der erste Computer, heute ist alles auf einem kleinen Chip.
|

|
|
In den 70er, 80er und 90er Jahren wurden auch bei uns Tonnen von Gold auf beschliffene und dadurch ruinierte Zähne zementiert.
Vieles davon liegt inzwischen auf den Friedhöfen. Heute ist der wahre Luxus auch ein kleiner Chip, ein Chip aus Keramik, aufgeklebt auf einem unbeschliffenen Zahn. |