
Ein Nachdenkender in poetischer Gelassenheit, er sucht die Lösung eines Problems. Den Fehler zu begehen ist die Problematik, denn nur der Mittelmäßige ist in ständiger Höchstform. Aber denken wir daran: Enttäuschung ist auch oft das Ende der Täuschung.
|
|
|
In diesem Fall ist es nicht nur der Wunsch einen schöneren, großartigen Zahn zu machen, sondern mehr der Wunsch seine Talente auszuleben.
Und das zu verstehen bedeutet auch, dass man im Stehen weiter kommt. Verbeugungen, die man einen Diener nannte und bei den Mädchen einen Knicks, kommen aus dem Bewusstsein eines Untertan Denkens.
Gleiche Augehöhe ist angesagt und lässt uns mit Stolz und Gelassenheit von dem Beruf Zahntechnik sprechen und ich glaube, es ist insgesamt mehr eine intellektuelle Leistung als eine handwerkliche Leistung.
|

|
|
Das hat diese junge Zahnhärztin mit der hier schon fertigen Arbeit für sich auch erkannt.
|

|
|
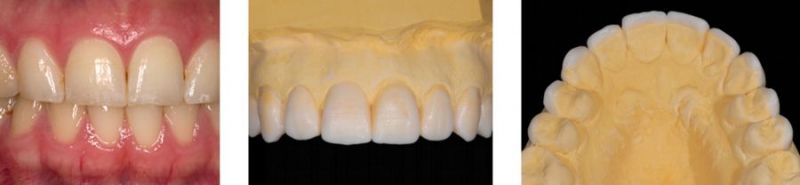
Das ist ihre Ausgangssituation - eine kleine kosmetische Verbesserung ist geplant. Zunächst zwei zentrale Veneers.
So ähneln sich die Fälle in der Art und Ausführung vielleicht, doch die Motivation zu einem unwiderruflichen Eingriff, kann sehr unterschiedlich sein.
|
|
|
Darum ist die ästhetische Information, gewonnen über das Mock Up, manchmal für uns wichtiger als für den Patienten. Doch der wirkliche Grund für eine Veränderung bleibt auch uns oft verborgen.
Darum ist ein sensibles Vorgehen mit bewusst demonstrierter Fürsorge von großer Wichtigkeit.
|
|
|
Es ist eindeutig, dass bei primärer Anwendung dieser Technik, zahntechnische Heldentaten langfristig in den Hintergrund treten. 8-fache Verschraubungen, 4-fache Verriegelungen, 14-fache Teleskope und dann die Totalprothese, waren immer eingeleitet durch vorhergegangenes unnötiges Abschleifen von Zähnen. Mit Andacht genannt, die Präparation.
Zwei zentrale Veneers waren geplant, 10 wurden es dann. Ich bin sicher, 10 Kronen mit 10 abgeschliffenen Zähnen hätte sich diese Zahnärztin nicht anfertigen lassen.
|

|
|
Sie als Zahnärztin hat Erfahrung durch Selbsterfahrung gewonnen. Doch der ahnungslose Patient tappt oft in eine andere Falle.
Eigentlich hatte er sich, als er 14 Jahre alt war, nur ein Stück von seinem rechten Einser abgebrochen, jetzt ist er 60 und hat manchmal das ganze Programm erlebt.
Heinz Erhard sieht das philosophisch: "Die alten Zähne wurden schlecht, man begann sie heraus zu reissen, die Neuen kamen gerade recht, um damit ins Gras zu beissen."
|
|
|
Zähne arbeiten wie ein Schmuckstück - Das könnte heißen, mit Witz und einer guten Philosophie fällt es uns leichter, die künstlichen Zähne wie ein Schmuckstück zu arbeiten.
|
 |
|
Ist es nicht wunderbar und gleichzeitig sonderbar, dass man, wenn man will, in diesem Beruf so viele Jahre glücklich und zufrieden sein kann. Doch was ist die Definition von wunderbar und sonderbar, es steht im Alten Testament. Der heilige Elias fährt mit dem Feuerwagen in den Himmel (Zweites Buch der Könige, Kapitel 2). |
AUCH WIR SITZEN AUF DIESEM FEURIGEN WAGEN, DEM WAGEN DER WUNDERBAREN UND SONDERBAREN BEGEISTERUNG.
|

Mit diesem Feuer befindet sich der Patient auf so leichte Art und Weise, wie hier symbolisch, eingerahmt, im Zentrum unserer Bemühungen.
Diese Flamme der Begeisterung macht unsere Arbeit zu einem Spiel, ein Spiel, was jeden Tag Freude bereiten kann.
NENNEN WIR DIESES SPIEL, DER PATIENT ALS MENSCH.
|
|

Man entdeckt aussergewöhnliche Eigenschaften und es endet in Freiheit.
Doch bedeutet Freiheit nicht, dass ich machen kann was ich will,
sondern eines Tages das zu unterlassen, was ich nicht mehr gerne möchte.
|
 |
|
So kann mit dieser Entscheidung wie hier ein Mund non-invasiv zum Erstrahlen gebracht werden.
Begeistern wir uns, wenn es möglich ist, nur diesen Weg zu beschreiten.
|

|
|
Die Ausgangssituation gab keine Veranlassung diese Zähne mit Präparations-Techniken zu traumatisieren - non-invasiv war das Versprechen an unsere Patientin.
Der Diamant wurde natürlich nicht wieder eingearbeitet. Sie hatte jetzt ein neues und anderes Vorstellungsvermögen von schönen Zähnen. Gepaart mit der Vorstellung von dentaler Unversehrtheit und Einfachheit.
|

|
|
Die Patientin hatte Glück, dass niemand ihre Zähne mit einer Präparation zerstört hat. Und zur Definition von Glück könnte man sagen: Wenn gute Vorbereitung auf die richtige Gelegenheit trifft.
Drei mal gemacht. Es war allerdings auch das Erstlingswerk von diesem Zahntechniker mit non-invasiv. Kein Problem, er hatte Glück, er war nicht gut genug vorbereitet für diese Gelegenheit.
Wissenschaftliche Untersuchungen zeigen, für eine meisterliche Leistung sind in der Regel mehr als 10 000 Übungsstunden notwendig. |

Immer sind wir auf der Suche nach Vollkommenheit, nach der perfekten Form, nach der perfekten Proportion.
Dafür lassen sich viele Menschen strecken, stauchen und aufpolstern. Geliftet, gebleacht, gebräunt und gebotoxt, je nach Zeitgeschmack werden die größten Qualen erduldet.
Denn nur Wenige haben das Glück den momentan gültigen Normen gerecht zu werden.
|
 |
|
Sinnvoller dagegen ist das Bemühen um die
LIEBE ATMOSPHÄRE EMOTIONEN CHARISMA KUNST HARMONIE KOMPLEXITÄT EXPERIMENTE RUHE UND GELASSENHEIT.
Die grüne Tara, die göttliche Inkarnation des endlosen Mitgefühls, sie zeigt in ihrer Körpersprache diese Ruhe und Gelassenheit.
|
|

Gelassen erreichen wir mit dem unbeschliffenem Zahn, als Unterbau, automatisch natürliche Schönheit.
UND GELASSENHEIT IST IMMER DIE QUELLE DER KRAFT
... auch bei den nächsten Beispielen
|